Cabinet d'Orthodontie du Dr KIKANO
Orthodontiste à Paris
2 rue Brézin, 75014 Paris
+33 1 40 44 74 44
Cabinet d'Orthodontie du Dr KIKANO
Orthodontiste à Paris

CAS CLINIQUES

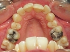
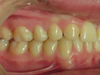
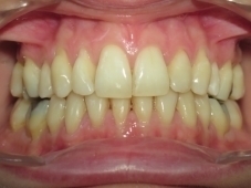
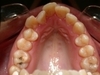
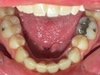
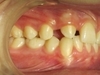
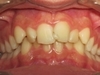
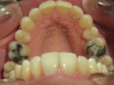
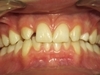
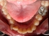
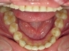
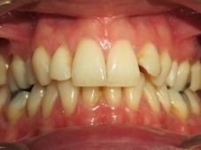
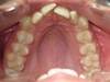
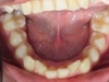
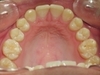
Cas 1 : Cas d'adulte. Emcombrement avec béance antérieure

Emcombrement avec béance antérieure vue 1
Emcombrement avec béance antérieure vue 1
Emcombrement avec béance antérieure vue 3
Emcombrement avec béance antérieure vue 4
Emcombrement avec béance antérieure vue 5
Emcombrement avec béance antérieure vue 6

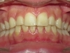
Cas 2 : Cas d'adulte traité avec des gouttières invisibles.

Avant
Après
Avant
Après

Cas 3 : Cas d'adolescent traité avec multiattache aux 2 arcades et avec extraction de prémolaires.

Traitement multiattaches ados
Traitement multiattaches ados vue2
Traitement multiattaches ados vue3
Traitement multiattaches ados vue4
Traitement multiattaches ados vue5
Traitement multiattaches ados vue6

Cas 4 : Cas d'adulte avec des incisives absentes traité avec gouttières invisibles.

Traitement gouttières invisibles adulte
Traitement gouttières invisibles adulte vue2
Traitement gouttières invisibles adulte vue3
Traitement gouttières invisibles adulte vue5
Traitement gouttières invisibles adulte vue5
Traitement gouttières invisibles adulte vue6

Création par Webdentiste

Connexion

Bouton Flottant Dcotlib WhatsApp